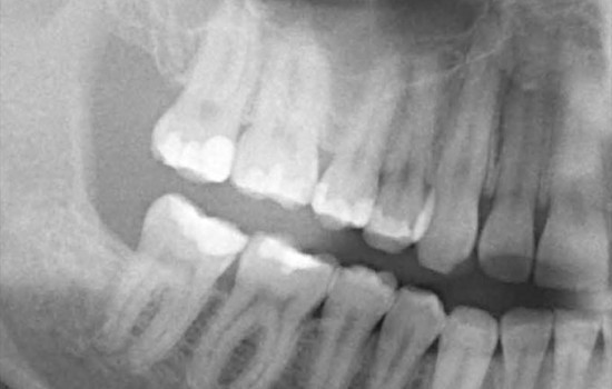
Digitales Röntgen
Weniger Belastung durch modernste Technik
In unserer Praxis in Norderstedt bei Hamburg werden ausschließlich digitale Röntgenbilder erstellt.
Schnellere Diagnosen, bessere Kommunikation mit dem überweisenden Kollegen und vor allem die Reduktion der Strahlenbelastung um bis zu 80% für den Patienten sind die entscheidenden Vorteile.
Es fallen keine umweltschädlichen Entwicklungschemikalien an! Statt eines Films, der von den Röntgenstrahlen belichtet wird und anschließend entwickelt werden muss, kommt beim digitalen Röntgen ein spezieller Sensor zum Einsatz, der die auftreffenden Strahlen in digitale Signale umwandelt.
Diese werden in einem Computer verarbeitet, und auf dem Monitor kann anschließend das Bild sofort betrachtet und ausgewertet werden.


